• <li id="4qq8q"><tt id="4qq8q"></tt></li>
    <li id="4qq8q"><tt id="4qq8q"></tt></li>
  • <li id="4qq8q"></li>
    <li id="4qq8q"></li>
    <li id="4qq8q"></li>
    <li id="4qq8q"></li>
  • <tt id="4qq8q"></tt>
  • 悅刻電子煙貨源網,悅刻一手貨源批發網站,提供微商正品relx貨源

    電子煙抽完肺涼(電子煙抽完肺什么樣子)

    小編

    電子煙抽完肺涼。這是真的嗎?我們一起來看看吧。首先,電子煙不是煙,是一種新型的香煙替代品,它的主要成分是尼古丁,這種物質對人體有害,但是子煙卻沒有這種危害。所以,大家不要被電子煙騙了。其次,電子煙也不是真的香煙,它只是一種替代品,并不是真正的香煙。最后,電子煙的成本非常低,一包就幾塊錢,而香煙的成本可不低,甚至有些地方的香煙價格比電子煙還要貴。所以,這兩者之間的差距還是很大的。

    醫療上是沒有洗肺這種說法的,但是長期吸煙對肺部是不好的,最好是戒煙。方便請給個評價。

    一:電子煙抽的肺疼怎么辦

    來有效緩解和排除體內有毒物質

    現在難受就別出了多喝水,稀釋一下打開倉庫讓空氣能夠流進來復習新鮮空氣還有就是實在不放心到醫院去檢查一下。

    確定有毒?多數是交友不慎,以后要注意,遠離這些人,他們不是你的真朋友,否則你還會有下一次的。要是還有其他難受,惡心、睡覺睡不好、眼睛迷糊什么的,東想西想的,就是體內有毒素,神經里也有。你可以多喝水出汗,就是排毒,排干凈了,你就好了,如果還是好不起來,你就是有后遣癥,長期跟著你,很麻煩。告訴你個方法,用楊際泰排毒配方,幾天時間就能把毒素排干凈的,這不吹牛,是專利發明。

    二:抽完電子煙肺不舒服

    第9版內科學第16章煙草病學概要(第150頁):吸煙是一種常見的行為,是當今世界上最嚴重的公共衛生與醫療保健問題。煙草病學隨著社會的發展,要應對不同的問題。早些年有煙草公司推出低焦油卷煙和中草藥卷煙,以促進消費,但是研究證實這些煙草產品并不能降低吸煙對健康的危害,反而容易誘導吸煙,影響吸煙者戒煙。隨著近年來的大力宣傳,公眾對吸煙有害健康已經有了一定的認識,但是新的問題還會出現,煙草病學研究仍然有許多未知。比如,出現的新型煙草—電子煙,是不是能夠降低吸煙對健康的危害仍然沒有一個確切的結論。近年來對于電子煙相關肺損傷的報道越來越多。下面這個病例突出強調電子煙相關肺損傷的病理學特征。

    問題

    以下關于電子煙相關肺損傷的病理學描述,哪種不正確?

    A 彌漫性肺泡損傷

    B 急性嗜酸性肺炎

    C 尋常型間質性肺炎

    D 機化性肺炎

    病例介紹

    患者年齡:52歲

    患者性別:男

    簡單病史:因勞累而呼吸困難2周來診。在過去的40年里,每天抽20支煙。沒有其他癥狀,沒有全身或胃腸道不適?;颊咴?個月前試圖戒煙,并開始吸電子煙:他一直在使用市面上可買到的電子煙,這種香煙沒有添加Δ9-四氫大麻酚(THC)?;颊咦孕刑砑恿艘环N新口味。

    體格檢查:無發熱,血壓為120/80mmHg,心率每分鐘70次,呈竇性心律。沒有發現心臟雜音。肺底肺泡呼吸音,少量捻發音。

    輔助檢查:

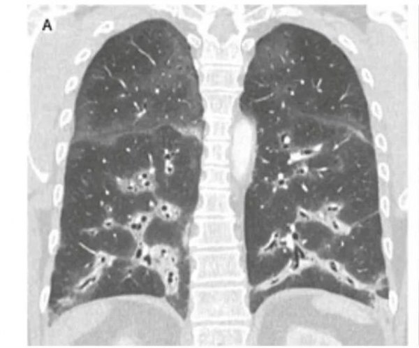
    胸部高分辨率CT掃描(圖)顯示肺下葉病變明顯,支氣管血管周圍有雙側實變,機化性肺炎。

    實驗室檢查:沒有任何感染或風濕病病因的證據:C反應蛋白濃度和白細胞計數正常。過敏性肺炎和膠原性血管病抗體篩查陰性。支氣管肺泡灌洗液70%為淋巴細胞。

    經支氣管肺活檢:組織病理學檢查證實為機化性肺炎,夾雜著含有色素的巨噬細胞,表明有異物吸入。

    臨床診斷:電子煙相關肺損傷

    治療過程:患者停止吸電子煙,并接受了全身性類固醇治療,從每天口服40毫克潑尼松龍開始,持續4周,每4周減少10毫克,目前每天服用10毫克。4個月后,癥狀沒有改善,影像學檢查結果也沒有改變。在首次出現癥狀6個月后,再次進行支氣管鏡檢查,同時進行支氣管肺泡灌洗和活檢:沒有發現淋巴細胞肺泡炎的跡象,但組織病理學報告診斷為非特異性間質性肺炎。

    該患者從機化性肺炎開始,逐漸演變為纖維化的非特異性間質性肺炎。文獻中報道的大多數病例都涉及到患者使用電子煙,并將THC或大麻酚添加電子煙液體中,維生素E被認為是造成肺損傷的重要因素;然而,對香料成分的影響也引起了

    既往筆記

    例說電子煙相關肺損傷的管理建議

    永軍英文朗讀

    該視頻號是本

  • <li id="4qq8q"><tt id="4qq8q"></tt></li>
    <li id="4qq8q"><tt id="4qq8q"></tt></li>
  • <li id="4qq8q"></li>
    <li id="4qq8q"></li>
    <li id="4qq8q"></li>
    <li id="4qq8q"></li>
  • <tt id="4qq8q"></tt>
  • 与亲女乱系列小说h 四川省| 黔江区| 唐山市| 清苑县| 城口县| 汝南县| 沾益县| 武陟县| 通河县| 涿鹿县| 乌兰县| 宁南县| 青龙| 沧源| 丹寨县| 巢湖市| 晋江市| 麟游县| 大新县| 临颍县| 昌江| 威信县| 寻乌县| 镇康县| 青河县| 德令哈市| 溧水县| 平武县| 民乐县| 左权县| 郑州市| 台山市| 莱州市| 裕民县| 定日县| 营山县| 平陆县| 北安市| 肃宁县| 栾川县| 丰宁| http://444 http://444 http://444