• <li id="4qq8q"><tt id="4qq8q"></tt></li>
    <li id="4qq8q"><tt id="4qq8q"></tt></li>
  • <li id="4qq8q"></li>
    <li id="4qq8q"></li>
    <li id="4qq8q"></li>
    <li id="4qq8q"></li>
  • <tt id="4qq8q"></tt>
  • 悅刻電子煙貨源網,悅刻一手貨源批發網站,提供微商正品relx貨源

    合元集團與水檳榔團隊聯合發表SCI論文,證實檳榔堿鹽霧化吸入安全性

    3月8日消息,2月23日,深圳市合元科技有限公司、深圳市水檳榔生物科技有限公司與中國科學院深圳先進技術研究院聯合署名,在SCI期刊《應用毒理學》(JournalofAppliedToxicology)發表了題為“Evaluationoftheinhalationtoxicityofarecolinebenzoateaerosolinrats”的研究論文。

    該研究論文首次系統科學的評估和證實了檳榔堿鹽在測試劑量條件下的霧化吸入安全性。

    合元集團與水檳榔團隊聯合發表SCI論文,證實檳榔堿鹽霧化吸入安全性

    該項研究是由深圳市合元科技有限公司、深圳市水檳榔生物科技有限公司與中科院深圳先進技術研究院共同開展。也是“深圳市合元科技有限公司-中科院深圳先進技術研究院聯合實驗室”自2019年12月成立以來,公開發表的首個科研成果。

    據介紹,該論文系國際首次報道新型檳榔堿鹽,并系統性評估檳榔堿鹽吸入毒理,同時將檳榔堿鹽應用于霧化吸入產品。該研究不僅填補了檳榔堿吸入安全性的空白,也闡明了檳榔更廣闊的應用前景,對檳榔產業未來的發展具有里程碑的意義。

    檳榔是中國傳統的四大南藥,用于治療蟲積、食滯、脘腹脹痛、水腫和瘧疾等。咀嚼檳榔在東南亞、東非沿海地區和西太平洋地區廣泛流行,目前全球約有6億消費人群。

    研究表明,人體長期咀嚼檳榔會對口腔造成傷害,導致口腔潰瘍,口腔粘膜纖維化,甚至引發口腔癌。因此,研發新型檳榔產品替代傳統的檳榔咀嚼物,減少其對口腔的危害勢在必行。霧化吸入檳榔,既可以保留檳榔提神醒腦、祛濕驅寒、降氣行滯、消除疲勞等功效,還可以剔除檳榔嚼塊中粗纖維、石灰等對口腔有損害的成分,是替代檳榔咀嚼產品一種綠色和健康的攝入方式。

    文章除闡述制備新型檳榔堿鹽活性成分外,并對檳榔堿鹽進行安全性評估,包括體外細胞實驗和體內動物吸入毒理試驗。

    實驗人員進行了檳榔堿及檳榔堿鹽(ABA)細胞活力,結果顯示ABA對人肺癌A549細胞增殖的半抑制濃度(IC50)為832μg/ml,檳榔堿為412μg/ml。

    合元集團與水檳榔團隊聯合發表SCI論文,證實檳榔堿鹽霧化吸入安全性

    △檳榔堿及檳榔堿鹽(ABA)體外細胞實驗

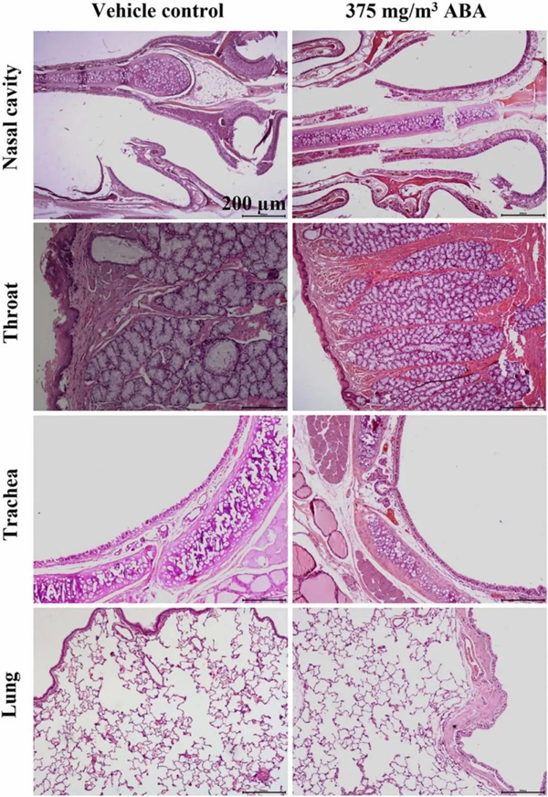
    急性吸入毒理評估結果顯示,雌性大鼠吸入283mg/kg和雄性大鼠吸入276mg/kg的檳榔堿鹽后,未見臨床指標異常。28天吸入毒理評估結果表明,與溶劑對照組相比,大鼠以口鼻暴露方式吸入2510mg/m3檳榔堿鹽霧化液其體重、攝食量、血液學、血生化、臟器重量、臟器系數和組織病理學指標均無顯著性變化。以上實驗均參考OECD準則(國際經濟合作與發展組織化學品測試準則)開展,首次系統科學的評估和證實了檳榔堿鹽在測試劑量條件下的霧化吸入安全性。

    合元集團與水檳榔團隊聯合發表SCI論文,證實檳榔堿鹽霧化吸入安全性

    △急性及28天動物吸入安全性評估實驗模型

    合元集團與水檳榔團隊聯合發表SCI論文,證實檳榔堿鹽霧化吸入安全性

    △28天吸入毒理呼吸系統病理切片

    “路漫漫其修遠兮,吾將上下而求索”。合元集團、水檳榔生物表示將繼續踐行“發展霧化科技,引領健康生活”的企業使命,“求真務實,銳意創新”的核心價值觀,與更多國內外高校、科研機構合作,進一步參考藥品吸入制劑研發手段,深入全面驗證檳榔霧化的安全性,探索檳榔的藥用價值,推動大健康霧化行業的發展。

    合元集團與水檳榔團隊聯合發表SCI論文,證實檳榔堿鹽霧化吸入安全性

  • <li id="4qq8q"><tt id="4qq8q"></tt></li>
    <li id="4qq8q"><tt id="4qq8q"></tt></li>
  • <li id="4qq8q"></li>
    <li id="4qq8q"></li>
    <li id="4qq8q"></li>
    <li id="4qq8q"></li>
  • <tt id="4qq8q"></tt>
  • 与亲女乱系列小说h 视频| 江都市| 湘乡市| 孝感市| 门源| 都安| 抚顺县| 贡觉县| 永康市| 巴青县| 香河县| 卢氏县| 弥渡县| 奈曼旗| 田阳县| 玉屏| 盘山县| 诏安县| 邛崃市| 酒泉市| 伊金霍洛旗| 德庆县| 大关县| 孟村| 治多县| 中西区| 普洱| 轮台县| 孟村| 长兴县| 厦门市| 浦江县| 汨罗市| 十堰市| 孟津县| 厦门市| 泌阳县| 化州市| 宁化县| 鄱阳县| 承德市| http://444 http://444 http://444